porcelain-crowns
Applied Procedures: Porcelain Crowns
P6930_ss3181bs_t P6930_ss3181ys_t
Before Photo After Photo
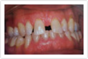
Applied Procedures: Porcelain Crowns
P6930_ss3182bs_t P6930_ss3182ys_t
Before Photo After Photo
Applied Procedures: Porcelain Crowns, Dental Bridges
P6930_ss3183bs_t P6930_ss3183ys_t
Before Photo After Photo